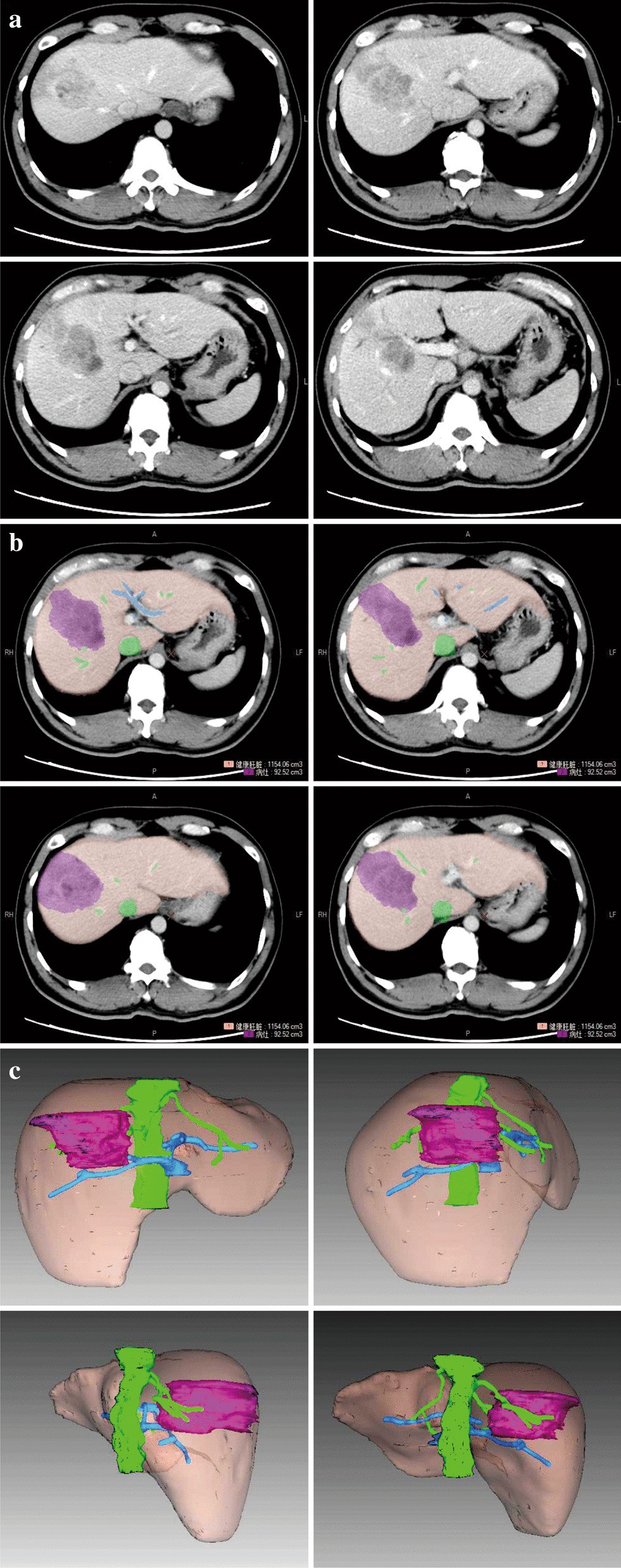
Fig. 1From: Safe standard remnant liver volume after hepatectomy in HCC patients in different stages of hepatic fibrosisRepresentative micrographs showing a portal venous phase; b contours of liver, tumour, hepatic vein and portal vein depicted with different colours; and c 3D reconstruction of liver, tumour, hepatic vein and portal veinBack to article page