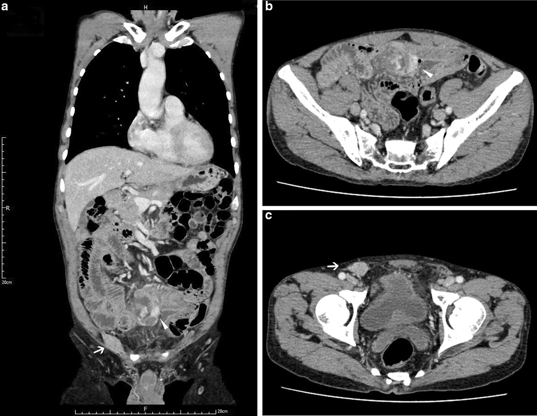
Fig. 1

The radiological finding of the current case. CT images in the venous phase indicating a huge mass in the small intestine and an isolated inguinal mass in the right groin. Both masses were contrast-enhanced, without distinct lymph node metastasis in the abdomen. a Coronal plane rebuilt scan; b, c Horizontal plane scans; Arrows and triangle shapes indicating inguinal and intra-abdominal mass, respectively