Fig. 2
From: A retrospective analysis and literature review of neoplastic appendiceal mucinous lesions

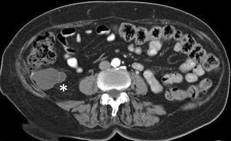
CT scan showing low-grade appendiceal mucinous neoplasms with liquid density adjacent to the caecum and retrocecum (*)
From: A retrospective analysis and literature review of neoplastic appendiceal mucinous lesions

CT scan showing low-grade appendiceal mucinous neoplasms with liquid density adjacent to the caecum and retrocecum (*)