Fig. 1
From: Double rarity: malignant masquerade biliary stricture in a situs inversus totalis patient

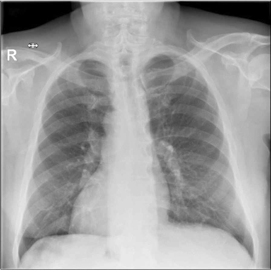
Chest X-ray of the patient with dextrocardia
From: Double rarity: malignant masquerade biliary stricture in a situs inversus totalis patient

Chest X-ray of the patient with dextrocardia