Fig. 5
From: Double rarity: malignant masquerade biliary stricture in a situs inversus totalis patient

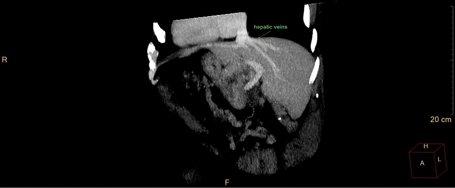
CT—maximum intensity projection—all hepatic veins drain directly into the atrium
From: Double rarity: malignant masquerade biliary stricture in a situs inversus totalis patient

CT—maximum intensity projection—all hepatic veins drain directly into the atrium