Fig. 8
From: Double rarity: malignant masquerade biliary stricture in a situs inversus totalis patient

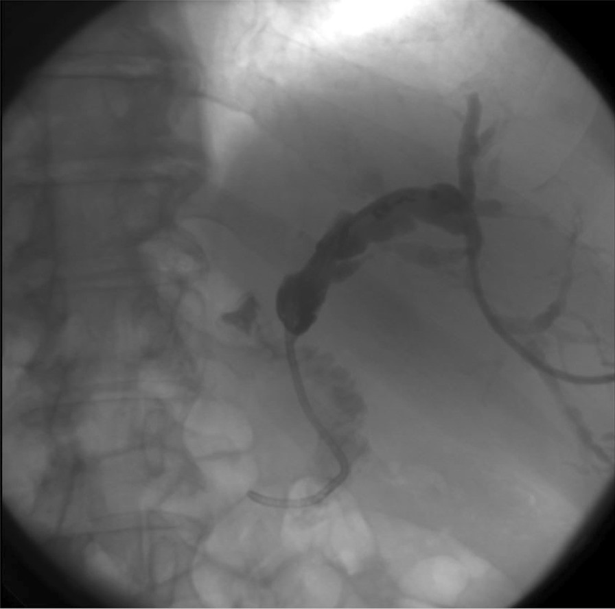
PTD-cholangiogram: The suspicion of Bismuth-Corlette stage II Klatskin tumour arose because a subocclusive stenosis of the extrahepatic bile duct was proven